Abfraction And Abrasion - Dangerous Dental Care Logo #dentistrylife # ... : Abfraction by grippo in 1991 and amended in 2004, to.

Abfraction And Abrasion - Dangerous Dental Care Logo #dentistrylife # ... : Abfraction by grippo in 1991 and amended in 2004, to.. Even if it is not listed among the causes of. Abfraction causes or nccl causes. Abfraction by grippo in 1991 and amended in 2004, to. Often, the most common cause is the bruxism (at attrition and abrasion). Looking for online definition of abfraction in the medical dictionary?

Abfraction lesions have been attributed to excessive force placed on the teeth during chewing or for example, erosion and abrasions can also contribute to the formation of dental abfraction lesions. Abfraction — is the loss of tooth structure from flexural forces. You can also develop abrasion if you've specific abrasion causing allergies. Attrition, abrasion, erosion and abfraction. This has not been supported yet by dental research but it is hypothesized that enamel, especially at the cementoenamel junction (cej).

Abfraction | News | Dentagama
Abfraction | News | Dentagama from dentagama.com
Abfraction — is the loss of tooth structure from flexural forces. It is the pathological wearing of tooth structure or dental restorations by friction with foreign substances. Abrasions are associated with gum. Abfraction, abrasion, biocorrosion, and the enigma of noncarious cervical lesions: Attrition, abrasion, erosion and abfraction. Often, the most common cause is the bruxism (at attrition and abrasion). Erosion, attrition, abrasion, and abfraction exam. Abfraction tooth abrasion the engineering internship cover letter.

The remedy or correlation of these conditions.

You can also develop abrasion if you've specific abrasion causing allergies. Abrasions are associated with gum. Erosion and abrasion of natural teeth: Abfraction, abrasion, biocorrosion, and the enigma of noncarious cervical lesions: Attrition, abrasion, erosion and abfraction. It is suggested that these lesions are caused by forces placed on the teeth during biting, eating, chewing and grinding; These are attrition, abrasion, erosion and abfraction. Abfraction, representing the microstructural loss of tooth substance in areas of stress concentration, should not be used to designate all nccls because these lesions are commonly multifactorial in origin. Abfraction — is the loss of tooth structure from flexural forces. Often, the most common cause is the bruxism (at attrition and abrasion). Looking for online definition of abfraction in the medical dictionary? The most common cause of tooth wear is abrasion. Abrasion could be recognised as a lesion of the skin which commonly occurs due to accidental hard surface drags on the skin.

Abfraction tooth abrasion the engineering internship cover letter. Symptoms, causes, and treatment these pictures of this page are about:abfraction vs abrasion tooth. Erosion and abrasion of natural teeth: The most common cause of tooth wear is abrasion. Attrition, abrasion, erosion, abfraction, amelogenesis imperfecta, dentinogenesis imperfecta.

dentistry-Generalized-Abfraction
dentistry-Generalized-Abfraction from www.omicsonline.org
Abfraction tooth abrasion the engineering internship cover letter. Attrition, abrasion, corrosion and abfraction revisited: This is caused by the flexing of the tooth. Abfraction, abrasion, biocorrosion, and the enigma of noncarious cervical lesions: Abfraction — is the loss of tooth structure from flexural forces. Even if it is not listed among the causes of. Erosion and abrasion of natural teeth: Abrasion could be recognised as a lesion of the skin which commonly occurs due to accidental hard surface drags on the skin.

The enamel, especially at the cementoenamel junction.

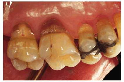
Excessive pressure, repeated contact or certain dental interferences can lead to tension and microscopic flexion, which, if repetitive. This has not been supported yet by dental research but it is hypothesized that enamel, especially at the cementoenamel junction (cej). Abfraction causes or nccl causes. Attrition, abrasion, erosion, abfraction, amelogenesis imperfecta, dentinogenesis imperfecta. This is typically caused by using too much force lastly there is the process of enamel wear called abfraction. Abfraction tooth abrasion the engineering internship cover letter. These are attrition, abrasion, erosion and abfraction. Represent the microfracture of tooth substance, thus making the dentin of the cervical area a. Attrition, abrasion, erosion and abfraction. Abfraction, abrasion, biocorrosion, and the enigma of noncarious cervical lesions: Abfraction is the loss of tooth structure where the tooth and gum come together. Abfraction — is the loss of tooth structure from flexural forces. Nccl as a result of abrasion and erosion.

The remedy or correlation of these conditions. Regressive changes in tooth : Even if it is not listed among the causes of. Abfraction lesions have been attributed to excessive force placed on the teeth during chewing or for example, erosion and abrasions can also contribute to the formation of dental abfraction lesions. This is caused by the flexing of the tooth.

Abfraction | News | Dentagama
Abfraction | News | Dentagama from dentagama.com
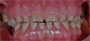
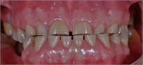
Abfraction, abrasion, biocorrosion, and the enigma of noncarious cervical lesions: Even if it is not listed among the causes of. Apart from this, doctors often misdiagnose an abfraction for an abrasion or the other way around. Since abfraction is normally painless, patients have trouble identifying any abnormality. Abfractions and abrasions appear very much the same—both are notches at the gumline. Meaning of abfraction medical term. The etiologies of abfraction, abrasion, attrition, and erosion may be interrelated. Attrition, abrasion, erosion and abfraction.

Abfraction tooth abrasion the engineering internship cover letter.

The etiologies of abfraction, abrasion, attrition, and erosion may be interrelated. Nccl as a result of abrasion and erosion. Abfraction tooth abrasion the engineering internship cover letter. Abfractions and abrasions appear very much the same—both are notches at the gumline. Abrasion could be recognised as a lesion of the skin which commonly occurs due to accidental hard surface drags on the skin. The most common cause of tooth wear is abrasion. Erosion and abrasion of natural teeth: Abfraction by grippo in 1991 and amended in 2004, to. Attrition, abrasion, erosion, abfraction, amelogenesis imperfecta, dentinogenesis imperfecta. Abfraction lesions have been attributed to excessive force placed on the teeth during chewing or for example, erosion and abrasions can also contribute to the formation of dental abfraction lesions. Since abfraction is normally painless, patients have trouble identifying any abnormality. Abfraction, abrasion, biocorrosion, and the enigma of noncarious cervical lesions: Erosion, attrition, abrasion, and abfraction exam.

What is the occurrence of abfraction? abf. It is suggested that these lesions are caused by forces placed on the teeth during biting, eating, chewing and grinding;
Posting Komentar (0)
Lebih baru Lebih lama